މާ ގަދަޔަށް ކެއްސުމުން މޭކަށިގަނޑެއް ބިނދިއްޖެ
މާ ގަދަޔަށް ކެއްސުމުން މޭކަށިގަނޑެއް ބިނދިއްޖެ

މާ ގަދަޔަށް ކެއްސުމުން އަންހެނެއްގެ މޭ ކަށިގަނޑެއް ބިނދިއްޖެ އެވެ. ނިއު އިންގްލެންޑް ޖާނަލް އޮފް މެޑިސިންގައި ޝާއިއުކޮށްފައިވާ މި ރިޕޯޓުގައި އަންހެންމީހާގެ ނަން ހާމަކޮށްފައެއް ނުވެ އެވެ. ހަމައެކަނި ބުނެފައިވަނީ އެއީ 66 އަހަރުގެ އަންހެނެއް ކަމަށެވެ.

ރިޕޯޓުގައިވާ ގޮތުން އަންހެންމީހާ ޑޮކްޓަރަށް ދެއްކީ އަރިދަފުސް ރޯގާގެ އުނދަގޫތަކެއް ހުރީމަ އެވެ. ހިކި ކެއްސުމަށް އަންހެންމީހާ ކެއްސާތާ ދެ ހަފުތާ ވެފައިވާ ކަމަށާއި ކަނާތްފަރާތުން ބަނޑާ ދިމާލު ކަށިތަކުގައި ވެސް ރިއްސާ ކަމަށް އެމީހާ ޝަކުވާ ކުރި އެވެ. ނަމަވެސް ފްލޫއަށް އަންހެންމީހާ އަށް ދިން ބޭހުން އޭނާއަކަށް ލުޔެއް ނުލިބުނެވެ.

އެހެންވެ ފަސް ދުވަސް ފަހުން އަނެއްކާވެސް ޑޮކްޓަރަށް ދެއްކީ އެވެ. އަދި ޑޮކްޓަރަށް ދައްކަން އަންހެންމީހާ އޭނާގެ ހެދުން އުފުލައިލި އިރު އަރިކައްޓާ ދިމާލުން ބޮޑު ތަންގަނޑެއް ކަޅުވެފައި ހުރިކަން ޑޮކްޓަރަށް ފާހަގަކުރެވުނެވެ. އެހެންވެ އިތުރު މައްސަލައެއް އުޅޭކަން ޑޮކްޓަރަށް ޔަގީންވި އެވެ.

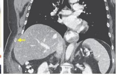
އެމެރިކާގެ މެސަޗޫސެޓްސްގައި ދިރިއުޅޭ މި އަންހެންމީހާގެ ސީޓީ ސްކޭން ހަދަން ޑޮކްޓަރު އެންގީ އޭނާގެ މެޔާއި ބަނޑުގައި ކަޅުވެފައި ހުރި ތަން ފެނިގެންނެވެ. ސީޓީ ސްކޭން އިން ދެއްކި ގޮތުގައި އަންހެންމީހާގެ މޭ ކަށިގަނޑެއް ބިނދި އެއްކޮށް އޮތީ ވަކިވެފަ އެވެ.

އިތުރު ޓެސްޓްތައް ހެދުމުން ޔަގީންވި ގޮތުގައި އަންހެންމީހާގެ ހަށިގަނޑުގައި ހޯއްގޮވާ ކެއްސުން ނުވަތަ ވޫޕިން ކޯފް ޖައްސާ ޖަރާސީމު ހުއްޓެވެ.

ހޯއްގޮވާ ކެއްސުން ޖެހޭ ބޮޑެތި މީހުންނަށް ސީރިއަސް މައްސަލައެއް ދިމާވަނީ މަދު ފަހަރަކު އެވެ. ނަމަވެސް ބޮޑުވަރުވާ މީހުންގެ މޭ މަތީގެ ކަށިގަނޑުތަކުން ކަށިގަނޑެއް ބިންދައިން ދިއުމަކީ ވެދާނެ ގޮތެކެވެ.

މި ބަލީގެ ކުރީކޮޅު ފެންނަ ނިޝާންތަކުގެ ތެރޭގައި ނޭފަތުން ފެން ފޭބުމާއި ލޯ ރަތްވެ ލޮލުން ފެން އައުން، ކަރުތެރެ ސަކަރާތްވުމާއި ހުން އައުން ހިމެނެ އެވެ. ހޯއްގޮވާ ކެއްސުން ޖެހޭ މީހުން އެންމެ ގަދަޔަށް ކެއްސަން ފަށަނީ ބަލި ޖެހޭތާ ހަފުތާއެއް ފަހުންނެވެ.

މި އަންހެންމީހާގެ ބަދައިގެ ސާޖަރީ ހަދައި އަދި އެންޓީބައޮޓިކްސް ދީގެން މުޅިން ފަސޭހަވެފައިވާ ކަމަށް މި ރިޕޯޓުގައި ބުނެފައިވެ އެވެ.